So Cute I Could Eat You
Have you ever felt so overwhelmed with love for an adorable baby or kitten that you wanted to pinch it, bite it, eat it, or smother it in some way?
What the heck is going on here?!
Despite being well-known, this strange phenomenon was first described in a 2015 paper and given the name cute aggression. And, although it's a common experience, feeling cute aggression can be baffling and embarassing, leaving people worried that there's something wrong with them. But take heart, half of all adults have these feelings and they appear to be a key part of our evolutionary code.

It also helps to realize that cute aggression is part of a larger category of behaviors known as dimorphous expressions, in which completely opposite emotions are expressed in a disorganzied way at the same time. Just think of fans screaming in what sounds like terror at a concert, or people crying and laughing at the same time, or how you might laugh when you're scared or nervous.

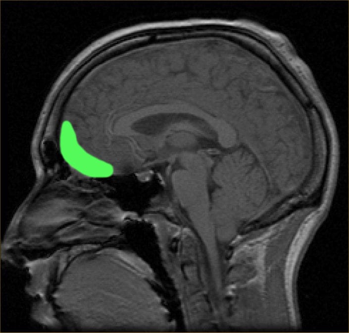
In the case of babies, their big eyes, chubby faces, and small chins trigger an explosion of activity in our orbitofrontal cortex, together with a flush of oxytocin (the hormone that promotes affection) and vasopressin (the hormone that triggers protective urges). The tangled feelings of love and desire to protect and nurture mixing together can be so overwhelming that they short circuit our nervous systems.

These emotions are important because they ensure that humans continue taking care of the living beings they care about, but on the flip side this reaction could be detrimental if we get sidetracked. Imagine being so enamored and in love with your new baby that you spend all your time staring at it and stop paying attention to outside dangers.

Scientists hypothesize that dimorphous expressions are the way that our nervous systems counterbalance overwhelming reactions that would otherwise run amok. And, ultimately, this balancing of emotions may have offered an adaptive advantage for humans because we must provide long-term care and protection for our vulnerable young.

Researchers have so far focused on this phenomenon in humans, but it seems to happen in other animals too. For example, almost every day we watch our two cats switch back and forth from affectionately licking each other to grappling in headlocks and biting each other. And animals like grizzly bears may display aggressive behavior to protect their cubs.
A moment of cute aggression in our cats
If you find yourself so in love with someone that you feel like you could squeeze them until they pop, hopefully you'll now have a better understanding of what's going on!


Member discussion